'PCR보다 빠른데 정확도 98%…X레이로 코로나 감염 여부 단 몇 분만에 안다'

PCR 검사법보다 빠른데다 정확도 98%…감염 초기에는 판별할 수 없다는 게 문제

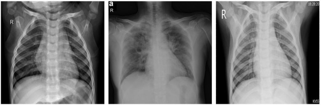
(왼쪽부터) 정상인, 코로나19 환자, 바이러스성 폐렴 환자의 폐 X레이 사진(사진제공=MDPI).

[아시아경제 이진수 선임기자] 영국의 연구진이 X레이를 이용한 획기적인 코로나19 진단법 개발에 성공했다.

누구나 열람가능한 과학저널을 펴내는 스위스 바젤 소재 출판사 MDPI가 공개한 논문에 따르면 영국 웨스트오브스코틀랜드대학(UWS)의 연구진은 코로나19 유전자증폭(PCR) 검사법을 이용할 수 없는 의료진에게 도움이 되지 않을까 싶어 인공지능(AI) 프로그램을 파고 들었다.

이 AI 프로그램은 몇 시간 뒤 결과가 나오는 PCR 검사법과 달리 코로나19 감염 여부를 몇 분 안에 알려준다.

여기에는 X레이 기술이 동원된다. 특정인의 흉부 X레이 사진을 코로나19 환자, 건강한 사람, 바이러스성 폐렴 환자의 사진 약 3000장과 비교·판독하는 것이다. 이 AI 프로그램의 진단 정확도는 98%에 이르는 것으로 밝혀졌다.

(사진제공=게티이미지)

이번 연구를 이끈 UWS 엔지니어링·컴퓨팅대학원의 나엠 람잔 교수는 "진단 도구의 부족으로 많은 나라가 코로나19 검사를 대대적으로 시행할 수 없는 실정"이라며 "하지만 쉽게 이용할 수 있는 X레이 기술로 코로나19 감염 여부를 몇 분 안에 판별해낼 수 있다"고 자평했다.

하지만 감염 초기에는 코로나19 증세를 X레이로 잡아낼 수 없다. 따라서 이 기술이 PCR 검사법을 완전히 대체할 수는 없다. 이에 연구진은 연구를 더 확대할 계획인 것으로 알려졌다.

이진수 선임기자 commun@asiae.co.kr<ⓒ경제를 보는 눈, 세계를 보는 창 아시아경제(www.asiae.co.kr) 무단전재 배포금지>

국제부 이진수 선임기자 commun@asiae.co.krⓒ 경제를 보는 눈, 세계를 보는 창 아시아경제
무단전재, 복사, 배포 등을 금지합니다.

오늘의 주요 뉴스

헤드라인

많이 본 뉴스