여경위 자살사건 촉발한 '클라인펠터 증후군'…어떤 질환인가 봤더니

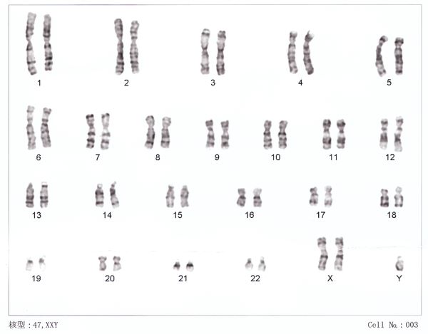
클라인펠터 증후군 환자의 핵형 [사진=위키피디아 제공]

여경위 자살사건 촉발한 '클라인펠터 증후군'…어떤 질환인가 봤더니[아시아경제 온라인이슈팀] 30대 여경위가 클라인펠터 증후군 판정을 받은 아들과 동반 자살했다는 안타까운 사연이 전해졌다.23일 광주 광산경찰서가 "22일 오후 광주 광산구의 한 아파트에서 전남 모 경찰서 경무과 소속 A(33·여) 경위가 목을 매 숨져 있는 것을 퇴근한 남편이 발견해 경찰에 신고했다"고 발표했다. 당시 A 경위의 생후 1개월 된 아들은 욕실 욕조에 빠져 숨진 채로 발견됐다. A경위는 지난달 말 둘째 아들을 출산한 뒤 육아 휴직 상태였다. 현장에는 "당신(남편)과 함께한 시간을 소중히 간직하겠다. 미안하다"라고 적힌 유서가 발견된 것으로 전해졌다. 남편은 "퇴근하고 집에 와보니 아내와 아들이 숨져 있었다. 아들이 며칠 전 클라인펠터 증후군 판정을 받아 아내가 괴로워했다"고 진술했다. 경찰은 정확한 사망 원인을 조사하고 있다. 클라인펠터 증후군이란 정상적인 남성의 성 염색체에 X염색체가 추가로 더 있는 질환이다. 신생 남아 1000명 당 1명 꼴로 비교적 흔하게 발생하며 성적 발달에 지장을 초래한다.소식을 접한 누리꾼들은 "클라인펠터 증후군, 안타깝다" "클라인펠터 증후군, 고인의 명복을 빕니다" "클라인펠터 증후군, 너무 슬퍼" 등의 반응을 보였다.온라인이슈팀 issue@asiae.co.kr<ⓒ세계를 보는 창 경제를 보는 눈, 아시아경제(www.asiae.co.kr) 무단전재 배포금지>

편집1팀 온라인이슈팀 issue@asiae.co.krⓒ 경제를 보는 눈, 세계를 보는 창 아시아경제
무단전재, 복사, 배포 등을 금지합니다.

오늘의 주요 뉴스

헤드라인

많이 본 뉴스