내시경 검사와 수술 필요한 경우도 있어
[아시아경제 정종오 기자] 잠시 한눈을 판 사이 아이가 물건을 삼켜 놀란 경험을 부모들은 한 번쯤 가지고 있습니다.
소아의 이물 섭취는 생후 6개월에서 3세에 가장 많이 발생합니다. 80~90% 정도는 자연 배출되는데 10~20%는 내시경으로 제거가 필요합니다. 1% 미만에서는 수술이 뒤따릅니다. 이물을 삼킨 아이 중 50%는 증상이 없고 증상이 있더라도 보챔, 침 흘림, 삼킴 곤란, 수유나 음식 거부, 구토 같은 비특이적 증상이어서 부모들이 알아채기 쉽지 않습니다.
대부분 이물이 위장관으로 들어가면 사고 없이 통과한다. 35% 정도는 합병증이 생길 위험이 있습니다. 특히 경부 식도, 위 유문부, 회맹장 밸브, 항문 등에서 이물이 잘 걸립니다.
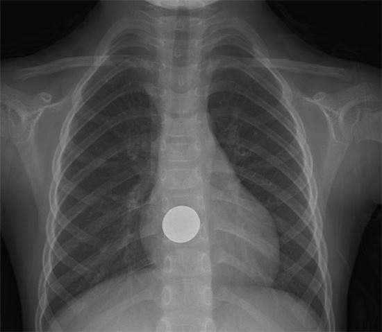
이물의 크기와 종류, 위장관 내 위치와 머문 시간에 따라 이물 제거 시기와 방법은 다릅니다. X-ray 검사로 대략적 이물의 위치나 크기, 모양을 확인할 수 있습니다. 생선 뼈, 닭 뼈, 고기 등 음식물을 비롯해 유리, 알루미늄, 플라스틱, 나무로 만든 이물 등은 X-ray 검사에 잘 나타나지 않기 때문에 추가 내시경 검사가 진단 겸 치료에 도움이 됩니다.
날카로운 물체가 위나 근위 십이지장에 있다면 내시경으로 제거하는 것이 좋습니다. 십이지장 만곡부를 통과한 이물은 좀 더 지켜봐야 합니다. 배터리나 날카로운 물질이 식도에 있을 때는 즉시 내시경으로 제거해야 합니다. 배터리는 식도에 걸려 있는 채로 4시간 이상 지나면 궤양, 천공, 누공 등의 합병증을 초래할 위험이 있습니다. 동전 등 둔탁한 물질은 식도에 있더라도 24시간 이내에 제거하는 것을 권하고 있습니다. 위에 위치한 이물이 날카롭거나 뾰족한 경우와 배터리가 48시간 이상 머물렀거나 2개 이상의 자석은 금식 후 내시경으로 제거해야 합니다.
두 개 이상의 자석이 소장으로 넘어간 경우 장을 사이에 두고 두 자석이 접촉하면서 장 점막의 압박 괴사, 장 천공, 폐쇄 등을 유발할 위험이 있어 수술이 필요합니다. 1주 이상 위치 변화를 보이지 않거나 발열, 구토, 복통이 동반되는 소장의 이물과 날카롭거나 뾰족한 이물이 투시검사 상 3일 이상 같은 자리에 머물러 있는 경우도 수술적 제거를 고려해야 합니다.
이유민 순천향대 부천병원 소아청소년과 교수는 "소아가 이물질을 삼키지 않도록 부모들의 주의관찰이 필요하고 이물을 삼킨 경우에는 위장관 통과 여부에 따라 내시경 또는 수술적 제거가 필요하다"며 "소아 소화기파트 진료를 받아 적절한 처치를 해야 한다"고 조언했습니다.
정종오 기자 ikokid@asiae.co.kr
<ⓒ투자가를 위한 경제콘텐츠 플랫폼, 아시아경제(www.asiae.co.kr) 무단전재 배포금지>
![[건강을 읽다]한눈 판 사이…아이가 물건 삼켰다면?](https://cphoto.asiae.co.kr/listimglink/1/2017083108511865641_1.jpg)

