KAIST, 지방간 치료제 개발 최적화 ‘동물모델’ 개발

지방간 치료제 개발에 최적화된 동물모델이 국내에서 개발됐다.

KAIST는 의과학대학원 김하일 교수 연구팀과 연세대 의과대 박준용 교수 연구팀, 한미약품 연구개발(R&D)센터, ㈜제이디바이오사이언스 등 공동연구팀이 새로운 대사 이상 지방간 질환 동물모델을 개발했다고 19일 밝혔다.

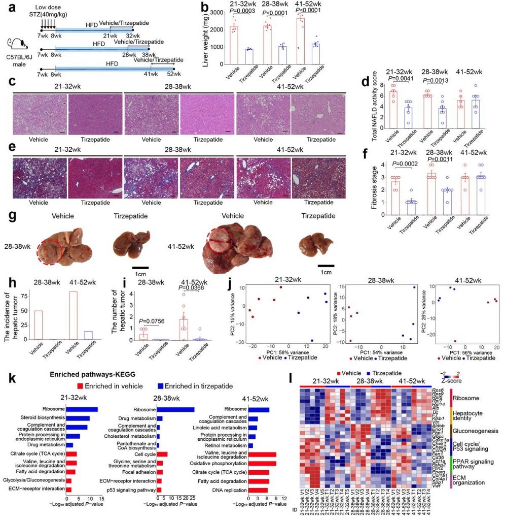
GLP-1 유사체의 대사이상 지방간염, 간 섬유와, 간 종양발생의 개선 효과 시각화 자료. KAIST 제공

대사 이상 지방간 질환은 지방간에서 시작해 지방간염, 섬유화, 간경화, 간암으로 진행되는 만성질환이다. 심혈관질환 및 간 관련 합병증 등으로 사망률이 증가할 수 있어 발병 초기 적절한 치료가 중요하다.

이 질환의 유병률은 20~30%에 이르며, 지방간염 질환은 세계 성인 인구의 5% 이상이 보유한 것으로 파악된다.

하지만 현재까지 제품화된 치료제는 전무한 상황이다. 사람의 질환을 모사할 수 있는 적절한 동물모델을 찾기 어려워 그간 병인 기전의 규명과 치료제 개발도 더뎠다.

특히 기존 동물모델은 당뇨, 비만 등 대사이상이 간경화와 간암의 발병에 유발하는지를 반영하지 못하는 문제를 보였다.

공동연구팀이 개발한 새로운 동물모델에 의미 부여가 가능한 대목이다.

공동연구팀은 베타세포의 기능이 부족한 아시아인에서 비만, 당뇨를 동반한 대사이상 지방간 질환의 유병률이 더 높다는 점에 착안, 마우스에 약물을 주입해 베타세포를 파괴하고 당뇨를 유발한 후 고지방 식이를 먹여 비만과 당뇨를 동반한 지방간 질환이 빠르게 진행되는 동물모델을 개발했다.

이 마우스 모델을 대상으로 1년간 진행한 실험에서 점진적으로 지방간, 지방간염, 간 섬유화(간의 일부가 굳는 현상) 및 간암 현상이 나타났고, 마우스 간의 유전체를 분석했을 때는 비만, 제2형 당뇨병을 동반한 대사 이상 지방간 질환 환자들과 매우 유사한 상태가 확인됐다.

마우스 모델에서 발생한 간암이 대사 이상 지방간 질환 환자에게서 보이는 간암과 조직학·분자생물학적 특성이 유사했던 것이다.

공동연구팀은 개발한 동물모델로 비만 치료제인 GLP-1 유사체의 효과도 시험했다. 이 과정에서 GLP-1 유사체의 투여는 마우스 모델의 지방간, 간염, 간 섬유화의 진행을 억제하는 효과를 보여 마우스 모델이 신약 개발을 위한 전임상 모델로 유용하게 활용될 수 있는 가능성이 열렸다.

무엇보다 공동연구팀은 GLP-1 유사체의 투여가 간암의 발생을 억제함을 최초로 규명, 대사 이상 지방간 질환의 주요 사망 요인인 간암 발병을 억제하기 위한 GLP-1 유사체 활용 방안을 제시했다.

김하일 교수. KAIST 제공

김 교수는 “그간 활용된 대사 이상 지방간 질환 동물모델은 대사 이상 지방간 질환의 넓은 스펙트럼과 당뇨, 비만 등 대사질환을 제대로 반영하지 못하는 문제를 보였다”며 “하지만 공동연구팀이 개발한 마우스 모델은 만성 대사질환의 특징을 모사해 대사이상 지방간 질환 동물모델 연구에 전환점을 제시할 수 있을 것으로 기대된다”고 말했다.

한편 이번 연구는 과학기술정보통신부, 보건복지부, 교육부, 제이디바이오사이언스의 지원을 받아 수행됐다. KAIST 의과학대학원 정병관 박사, 최원일 교수, 화순전남대학교병원 최원석 교수가 공동 제1 저자로 참여해 완성된 연구논문은 국제 학술지 ‘네이처 커뮤니케이션즈’ 8월 2일자에 게재됐다.

세종중부취재본부 대전=정일웅 기자 jiw3061@asiae.co.krⓒ 경제를 보는 눈, 세계를 보는 창 아시아경제
무단전재, 복사, 배포 등을 금지합니다.

오늘의 주요 뉴스

헤드라인

많이 본 뉴스