마릴린 먼로 가슴 X선으로 찍어보니..

(사진=줄리언스 옥션스)

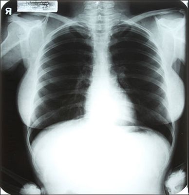
[아시아경제 이진수 기자] 20세기 섹시 아이콘 마릴린 먼로(1926~1962)의 가슴을 X선으로 촬영한 사진이 오는 6월 경매에 붙여질 예정이다.영국 타블로이드 신문 더 선은 오는 6월 26~27일(현지시간) 경매에 나올 먼로의 개인 소장품들 가운데 한 점이 X선 사진이라고 12일 보도했다.‘MM’이라는 먼로의 이니셜이 새겨진 목재 스키 한 벌도 경매에 나온다. 예상 낙찰가는 800달러(약 90만 원).먼로가 말년에 사용한 초록색 벨벳 천을 씌운 의자는 4000달러에서 낙찰될 것으로 보인다. 이는 1962년 7월 ‘라이프 매거진’ 촬영 당시 사용된 것이다.먼로의 X선 흉부 사진은 1954년 플로리다주에 있는 시더스 오브 레바논 병원에서 찍은 것으로 예상 낙찰가는 1200달러.개봉도 하지 않은 샤넬 5 향수는 1200달러에 낙찰될 듯.먼로의 미완작 영화 ‘섬싱스 갓 투 기브’ 대본에는 개인 메모가 가득하다. 이는 8000달러에 팔릴 듯하다.푸치 실크 블라우스 두 점의 예상 낙찰가는 4000달러.경매는 네바다주 라스베이거스 소재 플래닛 할리우드 카지노에서 경매업체 줄리언스 옥션스에 의해 진행될 예정이다.이진수 기자 commun@asiae.co.kr<ⓒ세계를 보는 창 경제를 보는 눈, 아시아경제(www.asiae.co.kr) 무단전재 배포금지>

국제경제부 이진수 기자 commun@asiae.co.krⓒ 경제를 보는 눈, 세계를 보는 창 아시아경제
무단전재, 복사, 배포 등을 금지합니다.

오늘의 주요 뉴스

헤드라인

많이 본 뉴스