분당서울대병원 정형외과 성기혁 교수팀
교정속도 빠르고 10세 이하면 재발 위험 커져
[아시아경제 이관주 기자] 10세 이하 소아 환자가 오다리, 엑스자 다리 수술을 받으면 재발 위험이 커진다는 연구 결과가 나왔다.
분당서울대병원 정형외과 성기혁 교수팀은 오다리, 엑스자 다리 치료를 위해 금속판을 이용한 반성장판 유합술을 받은 소아 환자를 대상으로 교정 이후 발생하는 반발현상(재발) 및 위험인자를 분석한 결과, 이같이 확인됐다고 31일 밝혔다.
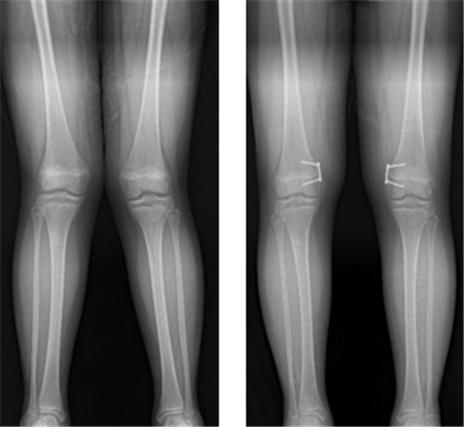
반성장판 유합술은 O자형(내반슬), X자형(외반슬) 다리로 병적인 변형이 있는 소아에 대해 8자 모양의 금속판을 이용해 일시적으로 한쪽 성장판의 기능을 억제해 성장하면서 변형이 교정될 수 있도록 하는 수술 방법이다. 교정이 완료되면 성장이 재개되기 때문에 상대적으로 더 어린 나이에 시행이 가능하며, 효과적인 교정을 기대할 수 있다.
그러나 지나치게 이른 나이에 수술하면 오히려 재발 위험이 높아질 수 있는 것으로 나타났다. 연구팀은 반성장판 유합술을 시행한 94명의 성장판을 대상으로 재발위험인자를 알아보기 위한 연구를 진행했다. 이들의 평균 나이는 11세였으며, 변형이 교정돼 금속판을 제거한 후 5도 이상의 변형이 재발한 경우 재발군으로, 그렇지 않은 경우를 비재발군으로 분류했다.
그 결과 41명이 재발군, 53명이 비재발군에 속했다. 재발군의 수술 시 평균 나이는 10.2세로 비재발군의 11.7세에 비해 유의미하게 연령이 낮았다. 또 재발군의 교정속도는 1년간 10.2도로, 비재발군의 교정속도가 1년간 6.5도인 것에 비해 유의미하게 빨랐다.
회귀분석 결과, 변형의 교정속도가 수술 후 변형 재발의 위험인자인 것으로 나타났으며, 교정 속도가 1년에 1도 증가할수록 재발 위험은 1.2배 증가했다. 아울러 재발군과 비재발군을 나누는 분기점은 약 7도였다. 따라서 교정속도가 7도 이상인 환자의 경우 금속판 제거 후 증상이 재발할 위험이 높아진다는 것을 확인했다.
성 교수는 "소아에서 오다리나 엑스자 다리는 금속판을 이용한 반성장판 유합술로 교정할 수 있지만, 교정속도가 빠른 소아 환자, 그중에서도 특히 1년에 7도 이상인 환자는 교정이 된 후 금속판을 제거했을 때 재발 현상을 보일 위험이 높으므로 추가적인 관찰이 필요하다"며 "특히 10세 이하로 너무 어린 나이에 수술하는 경우는 재발 위험이 커지므로 전문의와 상담을 통해 적절한 시기에 수술을 받는 것을 권한다"고 말했다.
지금 뜨는 뉴스
이번 연구 결과는 국제학술지 'BMC Musculoskeletal Disorders' 최신 호에 실렸다.
이관주 기자 leekj5@asiae.co.kr
<ⓒ투자가를 위한 경제콘텐츠 플랫폼, 아시아경제(www.asiae.co.kr) 무단전재 배포금지>



