민경태 UNIST 교수팀, 다운증후군에서 지적 장애 요인 유전자 찾아
다운 증후군 모델 쥐에서 나타나는 성체 신경발생 결손 및 학습, 기억 장애가 DSCR1 유전자의 숫자를 정상으로 만들어 주면서 회복되고 있다
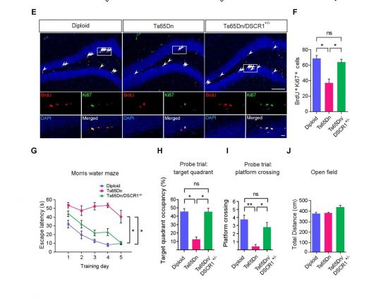
[아시아경제 김철현 기자] 국내 연구진이 다운증후군에서 지적 장애를 일으키는 요인 유전자와 그 작동 기작을 다운증후군 동물 모델을 통해 세계 최초로 규명했다. 이번 연구 결과는 다운증후군 환자의 지적 장애에 대한 치료 방법 개발에 기여할 것으로 기대된다.
울산과학기술원(UNIST, 총장 정무영)은 생명과학부 민경태 교수 연구팀이 성체 신경발생 과정에서 중요한 후성 조절 인자인 'TET1' 단백질과 'miR-124'의 발현에 'DSCR1' 단백질이 핵심적인 역할을 하고 있다는 것을 규명했다고 11일 밝혔다. 이번 연구 결과는 분자생물학 분야의 세계적 권위의 학술지인 '엠보 저널'에 이날 게재됐다.
이번 연구는 DSCR1 유전자가 조작된 쥐를 이용한 것으로 연구진은 학습과 기억 능력이 결핍된 다운증후군 쥐 모델에서 과발현한 DSCR1 유전자의 수를 정상적으로 복원해 손상된 성체 신경발생과 학습 및 기억 장애의 정상 회복에 성공했다. 최치열 박사과정 연구원은 "DSCR1 단백질에 의한 두 후성 조절 인자의 발현이 해마 지역에서 일어나는 성체 신경발생의 작용 원리이며, 다운증후군에서 나타나는 성체 신경발생 장애의 핵심 기작"이라고 설명했다.
지금 뜨는 뉴스
민경태 교수는 "성체 뇌에서 일어나는 해마 신경발생 과정을 조절하는 기작에 대한 근본적인 이해를 제공할 것"이라며 "다운증후군 환자의 인지 능력 결핍을 치료할 수 있는 치료제 개발에 기여할 수 있을 것으로 기대한다"라고 밝혔다.
김철현 기자 kch@asiae.co.kr
<ⓒ투자가를 위한 경제콘텐츠 플랫폼, 아시아경제(www.asiae.co.kr) 무단전재 배포금지>

