인공지능 기반 영상판독시스템 ‘루닛 인사이트’ 폐암 조기 진단
[아시아경제 서소정 기자] 서울대병원은 올해 1월부터 국내에서 독자적으로 개발한 인공지능(AI) 기술을 환자 영상 판독에 활용한다고 4일 밝혔다. AI가 흉부 엑스선 검사 영상을 보고 폐암 혹은 폐 전이암으로 의심되는 점을 의사에게 알려주면, 의사는 이를 폐암 조기 진단에 참조한다.
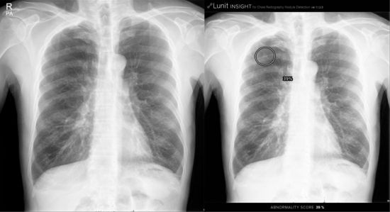
이번에 활용되는 AI기반 영상판독 보조시스템 ‘루닛 인사이트’는 소프트웨어 개발회사 루닛과 서울대병원 영상의학과 박창민 교수팀이 공동으로 개발에 참여했다. 병원은 루닛 인사이트를 인피니트헬스케어의 의료영상정보시스템(PACS)에 탑재해, 실제 영상판독에 활용한다.
흉부 엑스선 영상은 폐암을 포함한 다양한 흉부 질환의 진단과 평가에 매우 중요한 검사지만, 그 특성상 실제 폐암 같은 중요 질환에 대한 판독 정확도는 높지 않은 단점이 있었다. 루닛 인사이트는 흉부 엑스선 영상에서 폐암 혹은 폐 전이암으로 의심되는 소견을 발견하고 의사의 진단을 보조하게 된다. 양질의 영상 데이터와 독자적인 딥러닝 기술을 이용해, 크기가 작거나 갈비뼈와 심장 같은 다른 장기에 가려져 자칫 놓치기 쉬운 폐암 결절도 정확하게 찾아내는 역할도 한다.
이번 AI 판독시스템의 임상적용을 주도한 구진모 서울대병원 영상의학과 교수는 “AI가 흉부 영상판독 보조기능으로 환자 진료에 본격적으로 적용되는 첫 번째 사례”라며 “의료 혁신의 신호탄이 될 가능성이 높다”고 전망했다.
지금 뜨는 뉴스
최근 의료영상분야 학술지인 ‘방사선학’에 게재된 서울대병원 연구팀의 논문에 따르면, 이번 AI 소프트웨어 활용 시 흉부 엑스선 폐암 결절 판독 정확도가 영상의학과 전문의가 포함된 연구 대상자 18명의 의사 모두에게서 향상됐다. 이런 성과를 바탕으로 지난 8월 루닛 인사이트는 식품의약품안전처로부터 AI 기반 영상분석 의료기기로 승인받았다.
한편 연구팀은 폐암 이외에도 다양한 질환에 대한 인공지능 기반 영상진단 소프트웨어를 개발하고 있다. 최근에는 흉부 엑스선 영상에서 활동성 폐결핵을 검출하는 소프트웨어를 개발하고, 그 성능을 감염학 분야 학술지인 ‘임상감염병학’에 보고했다.
서소정 기자 ssj@asiae.co.kr
<ⓒ투자가를 위한 경제콘텐츠 플랫폼, 아시아경제(www.asiae.co.kr) 무단전재 배포금지>

