[건강을 읽다]계속되는 어지럼증…뇌질환 의심해야

이석증과 비슷…나아지지 않는다면 뇌질환 가능성

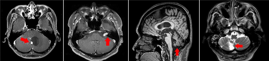
▲중추성 어지럼증을 유발하는 원인 질환 MRI 이미지.[사진제공=분당서울대병원]

[아시아경제 정종오 기자] 어지럼증이 계속된다면 뇌질환을 의심해야 합니다. 어지럼증은 다양한 원인으로 발생합니다. 뇌의 구조적, 기능적 이상에 의해 발생한 어지럼증은 '중추성 어지럼증'에 해당됩니다. 어지럼증을 호소하는 사람들의 4명 중 1명이 뇌졸중, 뇌종양, 퇴행성 뇌질환 등 뇌의 문제로 발생하는 중추성 어지럼증에 속합니다. 문제는 속귀에 위치한 전정기관의 이상으로 인해 생기는 말초성 어지럼증과 증상만으로는 구분이 쉽지 않다는데 있습니다. 이석증 등의 말초성 어지럼증으로 진단 받은 경우에도 증상이 나아지지 않는다면 중추성 원인을 의심해봐야 합니다. 중추성 어지럼증의 주원인이 되는 질환으로 뇌경색과 뇌출혈을 비롯한 뇌졸중, 뇌종양, 퇴행성 뇌질환 등이 있습니다. 이 같은 뇌질환은 진단과 치료시기를 놓치면 심각한 후유증을 남깁니다. 심각한 경우 생명까지 잃을 수 있습니다. 중추성 어지럼증의 대표적 원인질환 중 하나로 뇌졸중이 있습니다. 실제 뇌졸중이 발생하기 전 약 10%의 환자들은 갑자기 어지럽고 비틀거리는 증상을 경험하는 것으로 알려져 있습니다. 어지럼증을 보이는 뇌졸중 환자들은 초기 자기공명영상(MRI) 검사에서 문제를 발견하지 못하는 경우가 20%에 달합니다. 마비 등 눈에 보이는 증상이 나타나는 뇌졸중에 비해 오진 위험이 무려 2배나 높아 주의가 필요합니다. 전정기관을 담당하는 신경에 손상을 입어 발생하는 말초 전정신경염 또한 뇌졸중 전조 현상과 비슷한 급성 어지럼증을 유발하기 때문에 정확한 진단을 위해 자세한 병력청취와 신체검사가 필요합니다.뇌종양이 있는 경우에도 종양이 서서히 자라면서 어지럼증과 두통을 느낍니다. 주로 50대에서 60대에서 많이 발병하는데 최근에는 젊은 층의 유병율도 높아지는 추세입니다. 뇌졸중의 경우 고혈압이나 당뇨가 있는 사람에게서 주로 발생합니다. 반면 뇌종양은 뚜렷한 원인과 예방책이 없어 더 무서운 질환입니다. 퇴행성 뇌질환 환자에게도 지속적 만성 중추 어지럼증이 나타납니다. 초기에는 증상이 경미하고 영상검사도 정상으로 나타나는 경우가 많아 조기에 치료할 기회를 놓치기 쉽습니다. 영상검사가 정상이더라도 눈 운동 장애가 있거나 팔과 다리를 제대로 가눌 수 없는 증상이 함께 나타나는 경우 퇴행성 뇌질환일 가능성이 높습니다. 경미한 어지럼증일지라도 수개월간 지속된다면 자세한 진찰과 검사를 받는 게 좋습니다. 최정윤 분당서울대병원 신경과 교수는 "어지럼증에는 다양한 원인이 있을 수 있는데 서있을 때 중심을 잡기 어려운 자세불안 증상 혹은 두통과 함께 어지럼증이 지속적으로 나타난다면 뇌질환으로 인한 중추성 어지럼증일 가능성이 높다"며 "신속히 병원을 찾아 원인질환을 밝혀내고 치료를 시작해야 한다"고 조언했습니다. 이어 "조기진단과 치료를 통해 후유증을 최소화 할수록 뇌가 회복될 여지가 크고 약물과 전정운동치료를 꾸준히 실시하면 호전될 수 있다"고 덧붙였습니다. 정종오 기자 ikokid@asiae.co.kr<ⓒ세계를 보는 창 경제를 보는 눈, 아시아경제(www.asiae.co.kr) 무단전재 배포금지>

산업2부 정종오 기자 ikokid@asiae.co.krⓒ 경제를 보는 눈, 세계를 보는 창 아시아경제
무단전재, 복사, 배포 등을 금지합니다.

오늘의 주요 뉴스

헤드라인

많이 본 뉴스