복통 호소하던 여아…위장 속에 '이것' 뭉쳐 있었다

위장 속 머리카락 발견되는 라푼젤 증후군
섭식 장애가 건강 이상으로 이어지는 사례

위장 속에 머리카락이 발견되는 희귀한 사례가 보고돼 의학계의 관심이 쏠리고 있다. 해당 질환은 일명 '라푼젤 증후군'이라고 불리며, 구토나 식욕 저하 등 신체 이상을 주는 것으로 전해졌다.

최근 의학 전문 저널 큐레우스(Cureus)는 사우디아라비아에 거주하는 6살 여아 A양이 겪은 일을 보도했다. A양은 갑작스럽게 복통, 소화 장애 증상이 지속돼 병원을 찾았다.

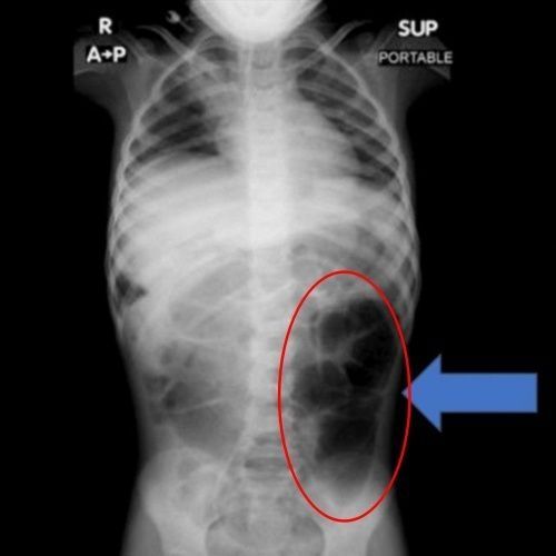
위장에 포착된 머리카락 덩어리. 큐레우스 캡처

의료진이 A양의 위장을 정밀 검사한 결과, 위 내부에 머리카락이 엉켜 형성된 덩어리가 발견됐다. 머리카락은 위장에만 머무르지 않고 소장까지 이어진 상태였다. 의료진은 "소아 환자에게서 반복적인 복통, 구토, 식욕 저하 등이 장기간 지속되면 위장관 내 이물질의 존재 가능성을 반드시 고려해야 한다"고 강조했다.

매체에 따르면 위장에서 머리카락 덩어리가 발견되는 환자는 꾸준히 보고되고 있다. 2019년 미국에선 18세 여성의 위장에서 4.5㎏에 달하는 머리카락 덩어리가 발견돼 충격을 주기도 했다. 이른바 '라푼젤 증후군'이라고 불리기도 한다.

라푼젤 증후군은 왜 발현할까. 자기도 모르게 머리카락을 뽑아 섭취하는 습관인 발모식증, 모발섭식증 등으로 인해 위 속에 머리카락 덩어리가 쌓이고, 이 머리카락이 소장까지 침범하는 탓이다.

라푼젤 증후군은 주로 젊은 여성에게 나타나는 것으로 알려졌다. 복통, 복부 팽만, 구토, 소화 불량, 체중 감소, 식욕 부진 등 증상이 나타난다. 장 폐색이나 출혈, 장 천공(구멍) 등 심각한 질환으로 이어질 위험도 있다. 수술을 통해 머리카락 덩어리를 제거하면 증상은 사라지지만, 재발을 막으려면 수술 후 정신건강 치료, 지속적인 관찰을 병행해야 한다.

이슈&트렌드팀 임주형 기자 skepped@asiae.co.krⓒ 경제를 보는 눈, 세계를 보는 창 아시아경제
무단전재, 복사, 배포 등을 금지합니다.

오늘의 주요 뉴스

헤드라인

많이 본 뉴스