'이례적 확산세' 원숭이두창…WHO '여름철 감염 급증할 수도'

WHO "원숭이두창 확산 완화 관련 지침 및 권고 회원국에 제공할 것"

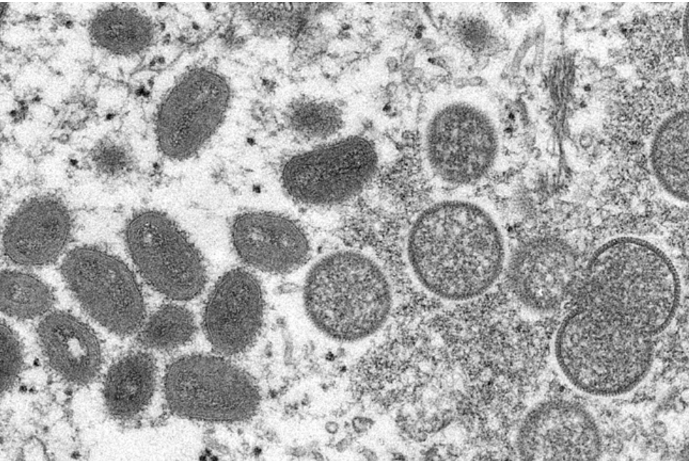
미국 질병통제예방센터가 공개한 전자현미경 사진에 인간의 피부 샘플에서 얻은 성숙된 타원형의 원숭이두창 바이러스(왼쪽)와 구형의 미성숙 바이러스(오른쪽)가 나타나고 있다. [이미지출처=연합뉴스]

[아시아경제 김나연 인턴기자] 세계보건기구(WHO)가 원숭이두창 감염 사례가 더 많이 확인될 것으로 예상된다고 21일(현지시간) 밝혔다.

영국 일간 가디언에 따르면 WHO는 이날 기준으로 영국에서 20건을 포함해 유럽과 미국, 호주 등 원숭이두창 감염이 원래 보고되지 않았던 12개 나라에서 92건의 감염 사례, 28건의 감염 의심 사례를 발견했다고 전했다.

이어 WHO는 향후 며칠 안으로 이 질병의 확산을 완화하는 것과 관련한 지침과 권고를 회원국에 제공할 방침이라고 덧붙였다.

원숭이두창은 사람 간에는 쉽게 전염되지 않아 의사들은 이처럼 각지에서 동시다발적으로 감염 사례가 나타난 데 대해 의아한 반응을 보이고 있다.

이 바이러스는 사람 간 감염의 경우 밀접한 인체 접촉을 통해서만 이뤄지는 것으로 알려져 있다.

원숭이두창 바이러스에 감염될 시 보통 발열과 두통과 근육통, 피로감 등 경미한 증상을 보이지만, 피부에 상처를 유발해 2차 감염으로 이어지기도 한다.

영국 보건 전문가들은 당분간 원숭이두창 감염 사례가 계속 늘어날 것이라고 경고했다.

가디언에 따르면, 케임브리지대 신종병 전문가인 샬럿 해머 교수는 "보건 당국이 지금 매우 공격적으로 감염 사례를 찾고 있다"며 "전에는 그냥 지나쳤거나 오진했을 수도 있는 경미한 증상의 원숭이두창 감염자들이 더 많이 확인될 것"이라고 밝혔다.

해머 교수는 이어 "원숭이두창의 잠복기가 1~3개월인 것을 고려하면, 신규 감염자들 가운데는 발병 초기 이 바이러스와 접촉한 이들이 있을 수 있다"고 덧붙였다.

또한 한스 클루게 WHO 유럽사무소장도 "대규모 모임, 축제, 파티가 있는 여름철로 접어들고 있어 감염 확산이 빨라질 수 있다"고 경고했다.

김나연 인턴기자 letter99@asiae.co.kr<ⓒ경제를 보는 눈, 세계를 보는 창 아시아경제(www.asiae.co.kr) 무단전재 배포금지>

이슈취재부 김나연 인턴기자 letter99@asiae.co.krⓒ 경제를 보는 눈, 세계를 보는 창 아시아경제
무단전재, 복사, 배포 등을 금지합니다.

오늘의 주요 뉴스

헤드라인

많이 본 뉴스