차세대 MRI 원천기술 확보 경쟁 치열

세계 각국 경쟁 '앗! 뜨거'

[아시아경제 정종오 기자] 정부가 차세대 뇌영상시스템 원천기술 확보에 뛰어들었다. 교육과학기술부(장관 이주호)는 오는 2016년까지 총 1094억원(국비 598억, 민간 496억)을 투입해 14T(Tesla, 자장단위) MRI(자기공명영상) 시스템을 개발한다는 계획을 세우고 12일 추진자문위원회를 개최했다.한국뇌연구원도 2014년에 준공된다. 이번에 추진되는 14T MRI는 세계 최초로 개발되는 프로젝트이다. 세계 각국의 경쟁 또한 치열해지고 있다. 미국의 경우 2008년에 관련 예산 52억 달러(한화 5조8000억)를 책정해 적극 지원하고 나섰다. 52억 달러 예산은 미국 보건예산의 17.7%에 이르는 규모로 우리나라의 116배에 달한다. 일본도 생명과학 예산의 7%에 해당하는 300억 엔(한화 4300억)을 배정하고 이 분야 연구개발에 나서고 있다. 영국은 1억7300만 유로(한화 2490억)를 지원해 보건 예산의 21.5%에 해당하는 지원 체계를 갖추고 있다. 현재까지 개발된 최고 성능의 제품은 미국국립보건원(NIH)의 11.7T MRI이다. 프랑스도 현재 같은 제품을 개발 중에 있다. 2012년에는 전 세계적으로 7T MRI 40여대, 9.4~11.7T MRI 6대 이상이 설치될 것으로 예상되고 있다. MRI(Magnetic Resonace Imaging) 시스템은 자기장을 이용해 신체 단층에 대한 정보를 영상화 하는 장치로 자기장(자속밀도)의 크기(Tesla)가 커질수록 높은 해상도의 영상을 볼 수 있다.

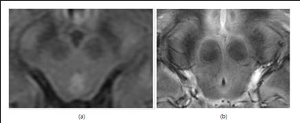
▲1.5T MRI(a)로 본 뇌 영상과 7T MRI로 촬영한 영상(b). 선명도에서 큰 차이를 보인다

14T MRI 개발에 성공하면 우리나라는 원천 기술을 확보하게 된다. 급증하고 있는 뇌질환과 뇌기능 치료에 적극 대응할 수 있다. 여기에 최첨단 의료 시스템의 산업화 기반이 조성되고 '미세 뇌혈류 측정을 위한 자기공명 혈관조영(MRA)'을 통해 혈관 조영제의 도움 없이 정확한 혈관 모양을 탐색할 수 있다. 또한 3차원적 뇌 조직 해부영상을 제공하기 때문에 퇴행성 뇌질환 등 뇌의 변형을 가져오는 질환에 효과적으로 대처할 수 있다. 얇은 두께의 해부학적 영상을 3차원으로 촬영해 뇌의 여러 조직을 더욱 선명하게 볼 수 있다. 이를 통해 각종 뇌 질환에 의한 구조적 변형을 통계적으로 관찰할 수 있게 된다. 14T MRI 개발은 뇌혈관 영상을 입체적이고 선명하게 볼 수 있는 시스템으로 미세혈관 질환 등 치료에 획기적 전환점이 마련될 것으로 기대된다. 교과부 미래기술과 이은영 과장은 "고령화 등 사회여건이 변하고 뇌 관련 질환이 많아지면서 MRI 기술개발에 전 세계가 관심을 기울이고 있다"면서 "민간과 협력해 관련 분야에 대한 적극적 지원과 함께 원천기술 확보를 위해 노력할 것"이라고 말했다. 정종오 기자 ikokid@<ⓒ세계를 보는 창 경제를 보는 눈, 아시아경제(www.asiae.co.kr) 무단전재 배포금지>

사회문화부 정종오 기자 ikokid@ⓒ 경제를 보는 눈, 세계를 보는 창 아시아경제
무단전재, 복사, 배포 등을 금지합니다.

오늘의 주요 뉴스

헤드라인

많이 본 뉴스