Rapunzel Syndrome: Hair Masses Found in the Stomach
Eating Disorders Leading to Serious Health Issues
A rare case of hair being found in the stomach has drawn significant attention from the medical community. This condition, commonly referred to as "Rapunzel syndrome," is known to cause physical symptoms such as vomiting and loss of appetite.
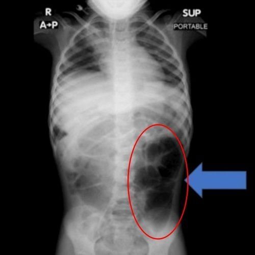
Recently, the medical journal Cureus reported on the case of a six-year-old girl living in Saudi Arabia. The girl, identified as patient A, visited the hospital after experiencing persistent abdominal pain and digestive problems.
A thorough examination of patient A's stomach revealed a mass formed by tangled hair inside the stomach. The hair was not confined to the stomach but extended into the small intestine. The medical team emphasized, "If a pediatric patient experiences prolonged abdominal pain, vomiting, and loss of appetite, the possibility of a foreign body in the gastrointestinal tract must always be considered."
According to the report, cases of hair masses being found in the stomach continue to be documented. In 2019, a case in the United States shocked many when a mass of hair weighing 4.5 kilograms was discovered in the stomach of an 18-year-old woman. This condition is also known as "Rapunzel syndrome."
Why does Rapunzel syndrome occur? The syndrome is caused by conditions such as trichotillomania and trichophagia-habits in which individuals unconsciously pull out and ingest their own hair. This leads to the accumulation of hair masses in the stomach, which can extend into the small intestine.
Rapunzel syndrome is known to occur mainly in young women. Symptoms include abdominal pain, abdominal distension, vomiting, indigestion, weight loss, and loss of appetite. There is also a risk of severe complications such as intestinal obstruction, bleeding, or intestinal perforation. While symptoms disappear after surgical removal of the hair mass, mental health treatment and ongoing monitoring are necessary after surgery to prevent recurrence.
© The Asia Business Daily(www.asiae.co.kr). All rights reserved.


