인공지능…CT 방사선 획기적으로 줄였다

카이스트 연구팀, 관련 기술 내놓아

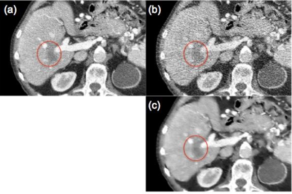
▲정상 선량으로 촬영한 CT 영상(a), 저선량으로 촬영한 CT 영상(b), 딥러닝을 이용한 영상결과(c). 붉은 원은 종양 부분이다.[사진제공=미래부] <br />

[아시아경제 정종오 기자] 컴퓨터단층촬영(CT)을 할 때 나오는 방사선 위험성을 인공지능과 첨단 IT 기술로 해결하는 방법이 나왔다. 예종철 카이스트 석좌교수 연구팀은 최신 인공지능 기술인 딥러닝 기술을 이용해 방사선량이 적은 저선량 CT 촬영으로도 임상에서 사용될 수 있는 고화질 의료영상 구현의 길을 열었다. X레이 CT는 대표적 의료 영상기술 중 하나로 선명한 3차원 영상을 제공한다. 여러 각도에서 반복적인 X선 촬영이 필요하기 때문에 다량의 방사선 피폭의 위험성을 지닌다. 병의 조기 진단이나 중재시술 등에 수반되는 반복적 방사선 피폭은 세포와 조직이 변형을 일으켜 암 등을 유발할 수 있다.이를 해결하기 위해 저선량 촬영을 시행하면 CT의 피폭 위험성을 낮출 수 있다. 영상 해상도가 크게 떨어질 뿐만 아니라 영상왜곡이 발생해 진단의 효용성이 떨어지는 단점이 있다. 기존의 영상신호처리 기술은 저선량 CT상에서 나타나는 복잡한 영상 복원문제를 해결하지 못했다. 저선량 CT는 영상진단 정확도가 떨어져 진단과 중재시술에 적용하는데 어려움이 있었다. 연구팀은 저선량으로 화질 저하 문제를 해결하기 위해 인공지능의 기술인 딥러닝 기술에 주목했다. 딥러닝은 심층 인공신경망 구조를 이용하는 알고리즘으로 최근 인공지능 분야를 주도하는 핵심 기술 중 하나이다. 기존에는 영상 분류와 관련된 분야에만 주로 이용됐다. 의료 방사선 피폭문제를 해결하기 위해 적용된 사례는 전무했다. 연구팀은 신호처리 기법인 웨이블렛(wavelet) 변환을 딥러닝과 접목시켜 새로운 알고리즘을 개발했다. 이를 통해 저선량 CT에서 발생하는 독특한 영상왜곡과 화질저하 문제를 성공적으로 해결했다. 예종철 교수는 "이번 연구는 최신 인공지능 기술을 접목해 방사선 피폭량을 획기적으로 줄일 수 있는 엑스레이 CT 원천기술을 개발한 것"이라며 "저선량 CT의 임상적용 등에 곧 상용화를 기대할 수 있어 그 동안 진단과 중재시술에서 문제가 돼 온 환자와 의료진의 방사선 피폭 문제를 근본적으로 해결하는데 기여할 수 있을 것"이라고 말했다. 정종오 기자 ikokid@asiae.co.kr<ⓒ세계를 보는 창 경제를 보는 눈, 아시아경제(www.asiae.co.kr) 무단전재 배포금지>

산업2부 정종오 기자 ikokid@asiae.co.krⓒ 경제를 보는 눈, 세계를 보는 창 아시아경제
무단전재, 복사, 배포 등을 금지합니다.

오늘의 주요 뉴스

헤드라인

많이 본 뉴스